歯周病とは
歯周病の特徴は何?
- 1・朝起きたとき、口の中がネバネバした感じがする。
- 2・ブラッシング時に出血がある。
- 3・口臭がある。
- 4・歯肉が痛い。
- 5・歯肉が赤く腫れている。
- 6・かたい物が噛めない。
- 7・歯が長くなったような気がする。
- 8・前歯が出っ歯になり、歯と歯の間に 隙間ができた。
このような症状がある人は、歯周病かもしれません。すぐに検査を受けるべきです。
歯周病は、目に見えない歯肉の溝の中に起こり、気づかない内に進行してしまいます。
歯周病って治るの?
現在では歯周病は、予防でき治療も可能です。大切なのは予防、診断、治療、そしてメンテナンスです。
まず、歯周病の原因は歯垢ですから、 それをためない、増やさないことが基本です。そのためには、
- 1・正しい歯ブラシの方法で毎日実行することです。
歯の表面を歯垢のない清潔な状態にしておく事が何より大切なことです。 - 2・歯肉の中まで入っている歯石を完全に取り除き、さらに根の表面を滑らかにして
炎症を引き起こす細菌を徹底的に除去することです。 - 3・傷んだ歯肉、骨を治療して健康に近い歯肉にすることです。
- 4・健康の保持のため歯科衛生士による専門的なクリーニングなどのメインテナンスを
定期的に受けることです。
歯周病の恐ろしい点は、初期・中期には痛みをあまり感じることがなく症状がどんどん進むことです。
痛みや腫れの症状が出てくるのは末期になってからで、それまではほとんど自覚症状ありません。
これがこの病気の最大の特徴で、また一番恐いところです。
歯周病(歯槽膿漏)ってどんな病気?
歯周病とは、歯の周りの歯ぐき(歯肉)や、歯を支える骨などが破壊される病気で、かつては歯槽膿漏と言われていました。
歯と歯ぐきの境目(歯周ポケット)に細菌が入り、歯肉が炎症を起こし赤く腫れて、ブラッシング時に出血します。しかし、痛みは全くありません。さらに進行すると、歯肉の中にある歯を支えている骨(歯槽骨)が溶けて、膿が出たり歯がグラグラしてきます。

この時期になると、やっと痛みや腫れをともないます。
そして、最後には歯が抜けてしまいます。その理由として、初期の段階では虫歯のように歯に穴があいたり、痛くなったりと言ったはっきりとした症状が現れにくく、かなり進行しないと、痛みや腫れと言う自覚症状が現れないからです。
さらに、日本人には歯の定期検診を受ける習慣があまりないこと、また歯周病を確実に治療できる歯科医が残念ながら 非常に少ないことなどが考えられます。一生自分の歯で噛むためには、むし歯の予防と同時に歯周病の予防と適切な治療が大切なのです。
原因は何?

お口の中にはおよそ400種類の細菌が住んでいます。
これらは普段あまり悪いことをしませんが、ブラッシングが充分でなかったり、砂糖を過剰に摂取すると細菌がネバネバした物質を作り出し、歯の表面にくっつきます。これを歯垢と言います。
歯垢1mgの中には10億個の細菌が住みついていると言われ、むし歯や歯周病をひき起こします。その中で歯周病をひき起こす細菌はポルフィロモナス・ジンジバリス、プレボテーラ・インターメディア、アクチノバシラス・アクチノマイセテムコミタンスなど10種類以上がわかっています。
また歯垢は粘着性が強くうがいをした程度では落ちません。
この歯垢の中の細菌が歯肉に炎症をひき起こしやがては歯を支えている骨を溶かすのです。

さらに、歯垢は取り除かなければ硬くなり、歯石と言われる物質に変化し歯の表面に強固に付着します。
その中や周りにさらに細菌が入り込み、毒素を出し続けるのです。
次のことも歯周病を進行させる因子となります。
- 1・歯ぎしり、くいしばり、かみしめ
- 2・不適合な冠や義歯
- 3・食習慣
- 4・喫煙
- 5・ストレス
- 6・全身疾患(糖尿病、骨粗鬆症、ホルモン異常)
- 7・薬の長期服用
歯周病の進行
![]() |
健康な歯肉 |
| 歯肉の色:薄いピンク色。 歯肉の形態:歯と歯の間に入り込んで弾力があり、引き締まっている。 ブラッシングでは出血しない。 |
![]() |
歯肉炎 |
| 歯肉の色:赤みを帯びる。 歯肉の形態:歯と歯の間の歯肉が丸みを帯び膨らんでいる。 ブラッシングで出血する。歯と歯肉の境に付着している歯垢中の細菌が毒素を出し歯肉に炎症をもたらします。歯肉が赤く腫れだすと、腫れた歯肉と歯の間(ポケット)にますます歯垢が溜まり悪化します。 |
![]() |
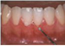
歯周炎 |
| 歯肉の色:赤紫色 歯肉の形態:歯と接している歯肉がさらにぶよぶよと腫れ、退縮する。ブラッシングで出血や膿がでる。歯と歯の間が広がり、食べ物もよく詰まる。 歯肉が退縮して、歯が長く見える。炎症はさらに進み、ポケットは深くなり 深部の歯垢中の細菌は毒性が強く骨(歯槽骨)を破壊し、溶かします。 |
![]() |
![]() |
|
| 健康な骨 | 破壊した骨 |
















